At Eyes & Smiles Dental Clinic in Friern Barnet Road, N11, we can provide many solutions for straightening teeth.
Testimonials
5.0/5.0
EXCELLENT Based on 242 reviews Posted on Rishita RupaniTrustindex verifies that the original source of the review is Google. Bharti & Vishal have been fab as always with our eye check up and consultation. Our whole family has been going to them for the last 10 years, travelling all the way from south east..they have a great variety of different frames and lenses options to suit everyone. Highly highly recommend them ! One of the best private opticians I have been too.Posted on S RTrustindex verifies that the original source of the review is Google. Highly recommend this dentist! Had gone for Invisalign treatment and Dr. A H went above and beyond to ensure I was happy with the results in time for my wedding, including multiple iterations of the plan and composite bonding. The value for money was also much better than some other practices in the Finchley area. Appointments were never rushed and convenient opening hours. All procedures were well explained and documented.Posted on Sadiya SheikhTrustindex verifies that the original source of the review is Google. I have had an a wonderful experience, Welcoming Doctors and Nurses and I am absolutely Satisfied with the work which they have done for me and will recommend them to anyone. Thank You So Much GuysPosted on Cristian EscobarTrustindex verifies that the original source of the review is Google. My wife went here in desperation, after visiting other 3 places who failed to nail the proper diagnostic to account for the pain she felt. Whereas I am open to admit we might have, in a small part, unknowingly contributed to those initial results by having the wrong impressions of the cause at the beginning, that really didn't prevent the Eyes and Smiles specialist to get it 100% right when his time came, and it only took a few minutes of talking with my wife. That sets us in the right direction. I am very sorry our tight budget doesn't allow us to deviate from NHS providers at the moment, but I immensely recommend this clinic, which we would undoubtedly have as our go to!Posted on Haz OrduTrustindex verifies that the original source of the review is Google. Amazing treatm from Anett, Very professional loved the atmosphere!Posted on Adam FrostTrustindex verifies that the original source of the review is Google. Primal very kindly saw me today at short notice for an emergency appointment. Both himself and his dental nurse were very helpful, informative and are kind people.Many thanks, AdamPosted on Berivan DagTrustindex verifies that the original source of the review is Google. Visited practice for a dental hygiene clean with air polish and extremely happy with results and experience. Dr Preemal Haria is very experienced and was helpful in the advice he gave me along the way. I’ll be back thank you!Posted on Masa OhtaTrustindex verifies that the original source of the review is Google. I use to go to the private dentist in central London for the last 13 years but I change to Eyes&Smile few month ago due to the fact that, I was not happy with the last treatments. I paid so much money with the previous dentist but within a year, everything started to falling apart. That was my turning point.. I decided to seek out a new dentist to get a second opinion. The clinic has a very calm energy and I felt so lucky to meet Preemal. He took time to listen to my story, took several pictures and wrote me a very detailed report. I also booked an emergency appointments and I must say, they were extremely helpful. I usually get nervous going to the dentist but I love going there to see Preemal and Susmita! Thank you for the great job and am loving the results! Highly recommended!Posted on Neha Palav (Neha)Trustindex verifies that the original source of the review is Google. Good service and immediate assistance given for Emergency tooth ache.Verified by TrustindexTrustindex verified badge is the Universal Symbol of Trust. Only the greatest companies can get the verified badge who has a review score above 4.5, based on customer reviews over the past 12 months. Read more


FAQs
The straighter your teeth are, the less wear and tear you place on your teeth, gums, and jaw. Correctly aligned teeth can handle biting and chewing without problems arising.
Orthodontic treatment is available on the NHS for young people under the age of 18 at no cost, if a dentist feels they need it. NHS orthodontic treatment isn't usually available for adults,
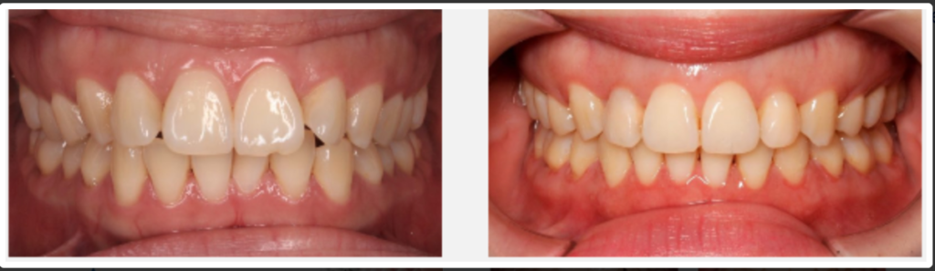
Traditional metal braces can take, on average, between 12 months and two years (24 months). A very minor case of crowding can take as little as six months to fix with Invisalign.
As your teeth begin to move, a person may experience soreness as the teeth are pushed into a better alignment. The soreness is most pronounced when a person switches to a new set of aligners or, have their wire tightened with fixed braces. The discomfort goes away after a few days.